

各種治療の利点や欠点について解説を掲載しております
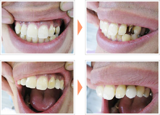
一年前に右上の犬歯をインプラント治療したO君がダツリで来院されました。
就職前にインプラント治療をして、今は一流IT関係の会社で働いています。
ちょうど、1年が過ぎ、仮付けだったインプラントの被せものがとれたので、
メンテナンスと一緒に来院されました。
一年たってまったく異常がないので本付けさせてもらいました。
写真を見てもらえばわかるように非常に綺麗に仕上がっています。
よく数ヶ月から1年くらいでインプラントが取れてしまったとか、
ひどい場合だと1〜2ヶ月で抜けてしまったなんて話をよく聞きますが、
わが三鷹 岡歯科医院では、ありえない事です!
何百本に一本くらいゆるんでくる場合がありますが、
ちゃんと埋入しなおしたりすれば、なんの問題もなくインプラントは定着するのです。
ひどい場合は「痛いのに無理やり上部構造をセットされて、すぐに駄目になってしまった。」
なんて事が起きないよう、数ヶ月は仮付けなどをして、
かみ合わせやそのほかの状態をみてから本付けしていくなど考えて治療して欲しいものです。
最後にインプラントはどう?とO君に聞いてみたところ、「とても快適です!本当にやってよかったと思いますよ。
何とか就職にも間に合ったし。来年クリーニングに来ます。」といって帰られました
武蔵野市在住のKさん(40歳)がメンテナンスとダツリで来院されました。
上顎8本と下顎両側4本の計12本のインプラントを入れた方です。
特に上顎は両側サイナスリフト(上顎洞底挙上術)、前歯部は鼻腔底挙上術をされた患者さんです。
上顎はブリッジタイプ(固定式)を望まれたのですが(年齢が若いため)顎提の高さがないのと、
反対咬合を正常に戻したので、少し長い歯になってしまっています。
最初は発音、食事をするときなど違和感があったそうですが、今ではかなり慣れてきて何でも食べられるようです。
このように骨幅、骨量がなくても、技術があればほとんどの症例でインプラント治療は可能なのです。
よく「上顎は骨がないからインプラントは無理なので入れ歯にしましょう」と言われたんですけど、、、
という話を聞きますが、それはその先生が上顎洞底挙上術などができないからそう言っているだけなのです。

武蔵野市在住の「I」さんが来院されました。今日したのはにアバットメント(土台)と仮歯が入る日です。
とうとう下のいればともおさらばなのです。 上の画像でも分かるようにとても綺麗(仮歯なのに)です。
1本も歯が無くても大丈夫なのです。
1週間後来られましたので聞いてみましたところ「何十年ぶりに硬いものを食べられたよ」と大喜びでした。
ブラッシング指導をして、最終型どりをして帰られました。
このように全部葉がない場合は6〜10本のインプラントを間移入し、上部構造を作っていくのです。
今流行の4本では絶対に無理なのです!!オーバーデンチャーならOKなのですが・・・・・・、
まぁ、10年くらいは持つかもしれませんね。
先月オペを行ったTさんの抜糸を行いました。
傷の治りも良く、これからは治療期間6ヶ月の間に他の部位の治療を進めていくことになりました。
なぜこの症例の話をするかというと……
この方は軽度ですが糖尿病の方なので、左側にインプラントを埋入する際になるべく手術の規模を
最小化する事が必要だったのですが……通常ならば、上顎洞底挙上術のウィンドウテクニックを使って
埋入しなければできない症例だったのですが、それでは手術後の腫れ、痛みも大きくなり、
感染する可能性が増してしまいます。
すなわち、失敗につながるかもしれないのです。
そこでメデントグループの歯科医師にしかできない、
サイナスインパクションという方法を使って埋入したわけです!
この方法は上顎調底に微細振動を与えて、薄い上顎洞底の骨を骨折させて上に持ち上げる特殊な手法です。
1番の利点は、手術の侵襲が少ないことと、骨などの補填材を使わないので感染のリスクが少ないという点です。
よって我が三鷹 岡歯科医院では、感染症の人や糖尿病の患者さんには良く使われる手法なのです
今ではサイナスウィンドウテクニックとともに、上顎のインプラント埋入には欠かせない手段となっています。
東京都東村山市在中のNさん(男)が来院され、最終補綴物メタルボンドが入りました。
東日本大震災の時にオペ(GBR)をしたので、2年かかってしまいました。
震災の為に建築の仕事関係で仙台に行かれたりしたため、
一時中断したりして遅れていましたが、やっと今回無事治療が終了しました。
最初に増骨の手術をしてから、アストラテックインプラントを2本埋入した症例です。
